Cabinet du Docteur Caroline Villette
Orthodontiste

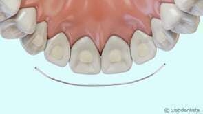
Fil de contention


video-play-icon